Taking a break from the norm this quarter, and to start the 2015 histology posts off with a bit of a challenge for you all, this HistoQuarterly is all about testing your tissue recognition.
Below are a series of unlabelled H&Es, but do you know what the tissues are? After having a guess, just click on the image to reveal the answer. Extra credit goes to those of you who can identify the pathology as well…if there is one!
Ready? Let’s go…
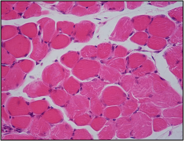
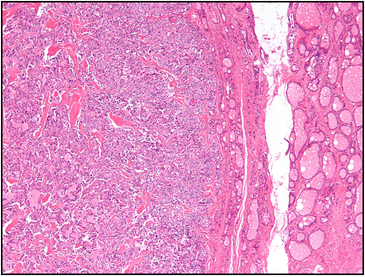
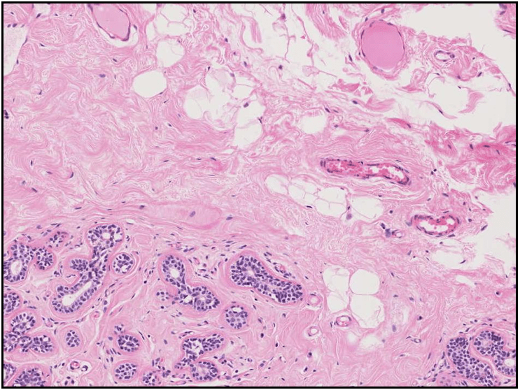
Mystery Tissue #1 
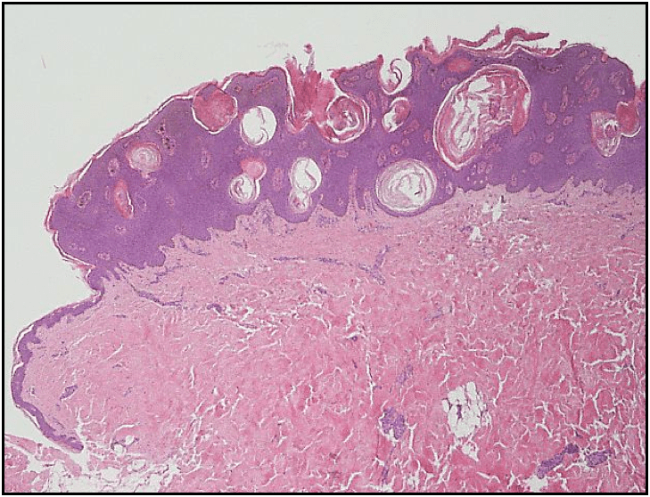
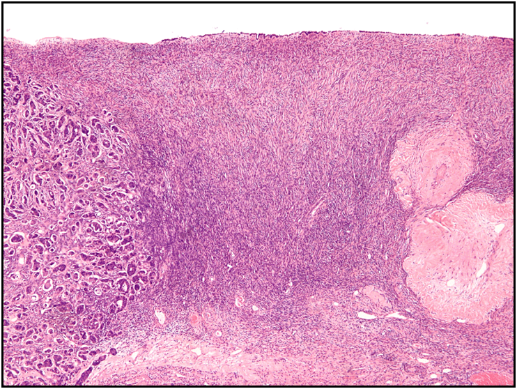
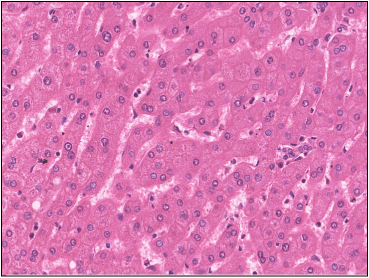
Mystery Tissue #2

[ Image Credit: By Ganímedes (Own work) CC BY-SA 3.0 (http://creativecommons.org/licenses/by-sa/3.0), via Wikimedia Commons ]
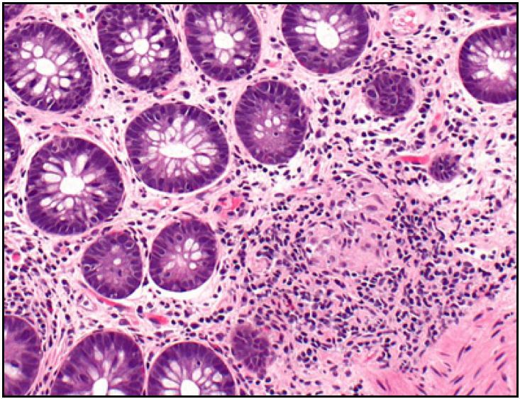
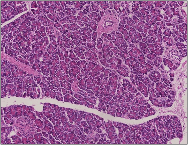
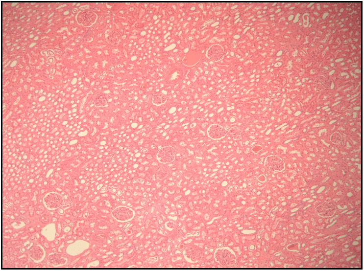
Mystery Tissue #3
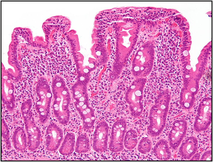
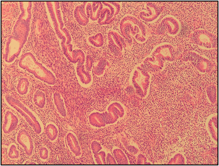
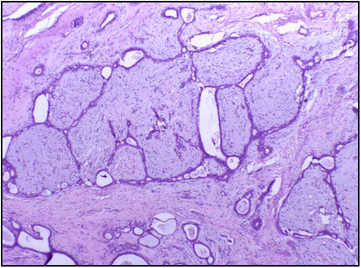
Mystery Tissue #4

[ Image Credit: By LWozniak&KWZielinski (Own work) CC BY-SA 3.0 (http://creativecommons.org/licenses/by-sa/3.0) or GFDL (http://www.gnu.org/copyleft/fdl.html), via Wikimedia Commons ]
Mystery Tissue #5
Mystery Tissue #6
Mystery Tissue #7

Image Credit: By Nephron (Own work) CC BY-SA 3.0 (http://creativecommons.org/licenses/by-sa/3.0) or GFDL (http://www.gnu.org/copyleft/fdl.html), via Wikimedia Commons
Mystery Tissue #8

[Image Credit: By Nephron (Own work) CC BY-SA 3.0 (http://creativecommons.org/licenses/by-sa/3.0) or GFDL (http://www.gnu.org/copyleft/fdl.html), via Wikimedia Commons ]
Mystery Tissue #9
Mystery Tissue #10
Mystery Tissue #11
Mystery Tissue #12
Mystery Tissue #13
Mystery Tissue #14
Mystery Tissue #15

[ Image Credit: By Nephron (Own work) CC BY-SA 3.0 (http://creativecommons.org/licenses/by-sa/3.0) or GFDL (http://www.gnu.org/copyleft/fdl.html), via Wikimedia Commons ]
Mystery Tissue #16

[ Image Credit: By Nephron (Own work) CC BY-SA 3.0 (http://creativecommons.org/licenses/by-sa/3.0) or GFDL (http://www.gnu.org/copyleft/fdl.html), via Wikimedia Commons ]
Mystery Tissue #17

[ Image Credit: By Nephron (Own work) CC BY-SA 3.0 (http://creativecommons.org/licenses/by-sa/3.0) or GFDL (http://www.gnu.org/copyleft/fdl.html), via Wikimedia Commons ]
Mystery Tissue #18
…and that’s that!
How did you do?
All images are Copyright © 2015 Della Thomas, unless otherwise stated.










Discussion
No comments yet.